Last update | April 7th 2025

contact@ossdental.com










image



WHEN LIGHT TURNS TO COLOR AND FORM



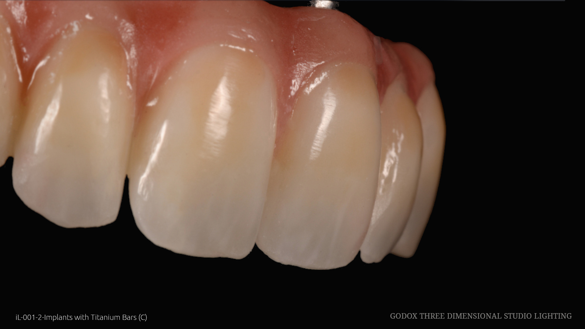
During our period in Europe I was contracted to help develop a dental ceramic system. I was then contracted to teach ceramics and work as an independent at several dental laboratories. Each country is different in terms of light values and in most places in Europe a sense of color prevails towards a more natural range of tooth colors. In North America color is more represented as a brighter, whiter shade range but natural dentition has translucency as well. This is actually more difficult to master as white requires more brightness which means increased opacity, but in skilled hands it can look fabulous.

For 2026 and back in the United States OSS Dental has turned its attention to the brighter and whiter preferences of brighter and whiter AOX implant configurations with a focus on the reduction of white pigmentation in exchange for light energy development within the ceramic itself. To promote this across 2026 we have restructured the pricing as well so we can develop a project to teach how this approach can be achieved. This page presents samples of what was created in Europe.

image

image

image

image

image

image

image

image











Contact: +1 702 487 0099

contact@ossdental.com

All image uploads: https://wetransfer.com


Location:

5730 Skye Pointe Drive

Unit #101

Las Vegas

89130 - NEVADA

USA



Web-Ver. 001 | 24-03-2025




Website updates are only posted on the index (home-page)






image



© Copyright OSS DENTAL - All Rights Reserved - 2024

© Copyright Website construction and photography - OSS-DENTAL - 2024 All Rights Reserved