Last update | 24th July 2025

contact@ossdental.com





Welcome to OSS DENTAL - OUR MOBILE QUICK VIEW.

This mobile version offers to you a quick insight into OSS DENTAL. If you wish then to explore our Desktop version which has a lot more information and a wealth of images working with us could separated your dentistry from the competition. If you have any questions call us.







The laboratory is owned and run by Marco Beschizza, GDC trained, ZTM, RDT who trained in London, then qualified and became internationally recognized in Germany as a ZTM technician with his exceptional abilities in ceramic techniques with ceramic science development and his expertise knowledge of occlusion and rehabilitation protocols.



OSS DENTAL is now established in Las Vegas.



image

image




CORE INFORMATION



As a laboratory we offer a wide range of restorative options to meet a wide range of case situations, that also supports Holistic Dentists who are providing wellness treatments. Our pricing is middle of the road and based on packaging the cases as all up pricing.

CONSTRUCTION TIMES



which will be of importance are based on unit type across working days excluding weekends.

Single basic units we can turn around in 3-4 Days,

Emax and small bridgework, 4-Days

Full coverage reconstruction arches and AOX cases are staged as required across 7-working days between stages as in most cases they are pre-planed.



SHIPPING



is based on using the post office and FedEx within the US. We pay postage both ways with the postal service and we have a fixed charge of $10 dollars when using FedEx. FedEx for international shipping is subject to estimates.



COLLECTIONS AND DELIVERIES

around Las Vegas we will collect and deliver as required.



IMPLANT Preferences; For our Implant casework we use branded components on all casework and you have the option if you prefer to use Dess compatibles, write branded name and type in the implant space and write the brand name and add size details.





MATERIALS



We use only top graded materials and attached necessary certification at the time of invoicing if available. As new materials become available we test these well before applying them to casework. Our ethos is to maintain our less than 1% remake factor across the past twenty years which we are proud of and that begins with using first class materials and applying proven protocols to our casework.

image

image



PRICING



Our Pricing is all up single fees (packaged) that includes everything required to complete a case from start to finish, single unit to an AOX. Go to our desktop version and select packages for all the included details. No extra charges as this makes it easier all around to manage cost calculations. If you wish a price list, you can request a price list by email or call us.






WHAT IS A NEW SMILE - IT IS MORE THAN AESTHETICS

FOR MORE DETAILS GO TO OUR DESKTOP VERSION TO UNDERSTAND THE VALUE OF OPTIMIZATION



image



image




We serve the United States with an ethos to make dental technology easier, less complicated, more accurate and that our work provides solutions that are first class by combining analog and digital technology to reach precise goals. Our optimization protocols gives our dentists and your patients the reassurance that there casework will last. We do not charge for this time, it is included as it also provides us that when a case is completed it was made to the standard of workmanship we are known for.





THE BASE OF SERVICES WE ARE PROUD OF.







SERVICE

RELIABILITY

AFFORDABLE PRICING

EXPERTISE AND EXPERIENCE

EXCEPTIONAL RESTORATIONS

ADVANCED GEOMETRIC SOLUTIONS

CLASSICAL AND DIGITAL TECHNOLOGY

A COMPREHENSIVE RANGE OF PRECISION PRODUCTS

PLANNED AND PROTOCOL DRIVEN IMPLANT SOLUTIONS

NO SHADE TAKING REQUIREMENT THAT IS UNIQUE TO OUR LABORATORY





A FEW CASE EXAMPLES YOU CAN EXPECT FROM US







EMAX OVER LITHIUM





image

image





EMAX OVER LITHIUM: We have created many Emax restorations and many examples can be seen across our website that illustrate some very challenging and extraordinary results.





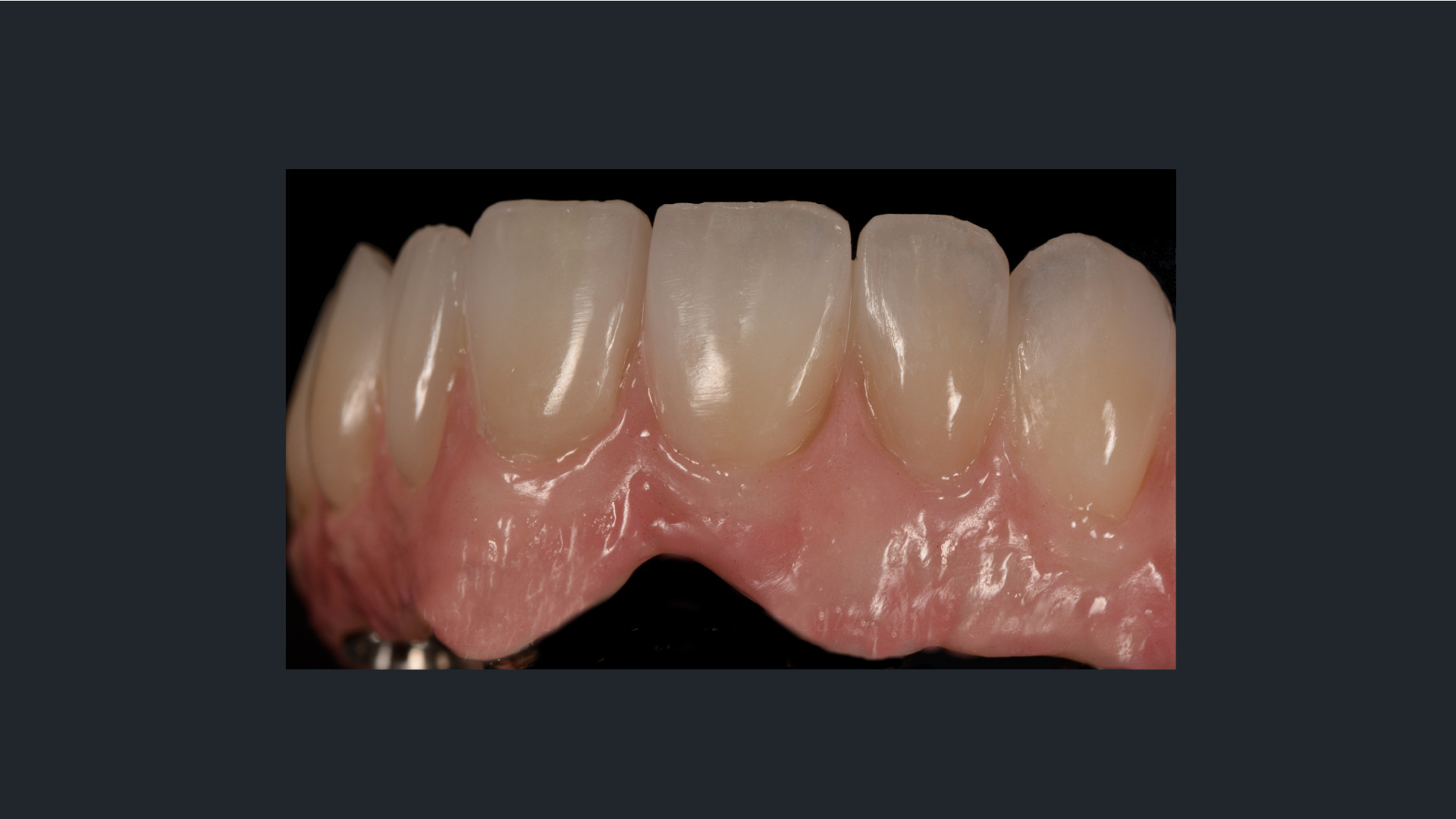
HIGH FUSING PORCELAIN OVER ZIRCONIA BRINGS OVER THE POWER OF TEAMWORK:













THE TWO ARCHES ABOVE PRESENT EXAMPLES OF HIGH FUSING CERAMIC OVER ZIRCONIA COPINGS.









THE SCIENCE OF TODAY CRAFTED BY KNOWLEDGE AND FINISHED BY FEEL. WE ARE A TEAM ON TECHNICIANS WITH A LOT OF EXPERINCE IN PRECISION DENTISTRY





A QUESTION OF PERSPECTIVE:

Digital-dentistry cannot match hand-made aesthetics, or the precision of a skilled technician as digital does not have the ability to indicate the critical elements of this craft that makes the difference from us being craftsman and not becoming a digital servant.

Marco Beschizza CG (Educated), ZTM (Ger), RDT (Can)





image




5730 Skye Pointe Drive

Unit #101

Las Vegas

89130 - NEVADA

USA



Web-Ver. 001 | 24-03-2025




px-5 image







IF YOU REQUIRE SHIPPING LABELS - LABORATORY RX SHEETS - CALL US OR EMAIL A REQUEST WE WILL EMAIL PRINTABLE PDF FILES

OR WE CAN SEND YOU A LAB-PACK (Lab-PX sheets which includes boxes and shipping labels)


IF YOU NEED A COLLECTION - WE CAN ARRANGE THAT - JUST CALL US (Please Note - Collections are restricted to US only)




With our return to America this website has just begun as well as our laboratory. Over the coming weeks and months this website will be continuously updated with Casework, Technical Subjects, Important Reconstruction Guidelines and Future Projects.









image



© Copyright OSS DENTAL - All Rights Reserved - 2024

© Copyright Website construction and photography - OSS-DENTAL - 2024 All Rights Reserved